联系方式:18052091425(德宏)

医学科研服务

番红固绿染色

时间:2024-05-21

番红-固绿染色
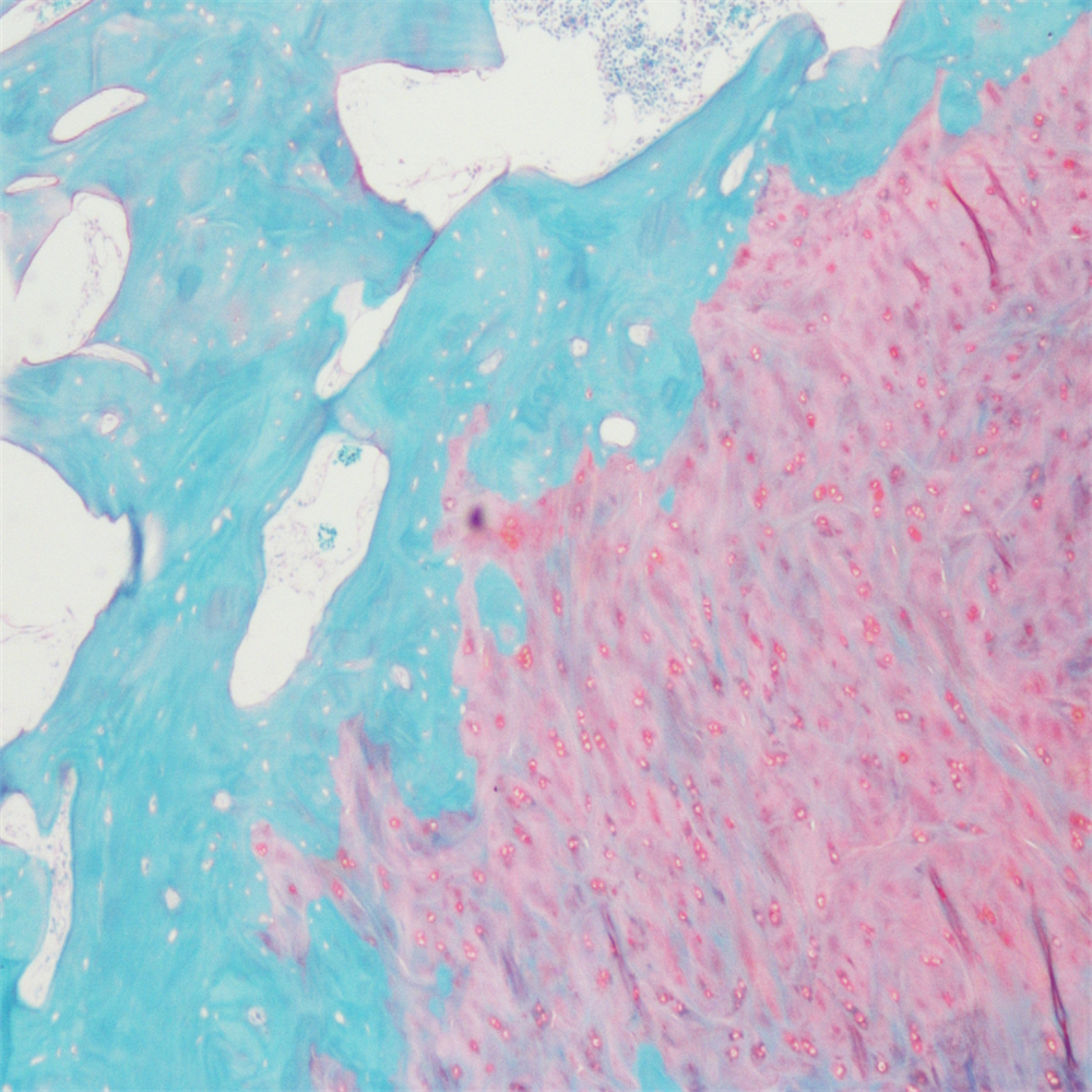
       番红-固绿染色(软骨)在涉及关节软骨及软骨下骨的形态学研究中,常需联合使用多种染料以显示其组织学结构。其中,起源于上世纪60年代的番红O(safranin O)-固绿(fast green)染色因可以直观反映关节软骨、软骨下骨和骨组织的结构而备受青睐。软骨呈红色,成骨呈绿色。
技术原理
       番红-固绿(软骨)染色法的染色原理在于嗜碱性的软骨和碱性染料番红O结合呈现红色,嗜酸性的骨和酸性染料固绿结合而成绿色或者蓝色,与呈现红色的软骨对比鲜明,从而将软骨组织和骨组织区分开。番红O是一种结合多阴离子的阳离子染料,其显示软骨组织是基于阳离子染料与多糖中阴离子基团(硫酸软骨素或硫酸角质素)结合。番红O着色与阴离子的浓度近似成正比关系,间接反映基质中蛋白多糖的含量和分布。当软骨收到损伤时,软骨中的糖蛋白会释放出来,使基质成分分布不均匀,从而导致番红O淡染或不着色。通过图像分析软件可以对番红O染色的软骨基质进行定量分析。固绿与胶原纤维结合,不宜褪色。
实验步骤

实验结果展示:


<番红固绿-骨>

注意事项
       1、注意固绿的上色程度,番红不要掩盖绿色。
       2、切片分化时间应恰当,以背景呈绿色为宜。分化过度容易导致切片不着色,分化不足容易导致切片着色过深。
送样运输要求:
       1、植物样本置于20倍样本体积的FAA固定液中固定24h以上,常温运输送样。
       2、切勿冷冻结冰。